Neid vaktsiine ei saa enam pidada eksperimentaalseteks – “katse” tulemuseks on katastroof, mida paljud arstid ja teadlased algusest peale ennustasid. Vaktsineerimine tuleb lõpetada ning kõik nende kasutamise heakskiidud ja load tühistada.
Väljakutse Eesti patoloogidele lükkamaks ümber Prof. Arne Burkhardti tõendid
Michael Palmer, MD ja Sucharit Bhakdi, MD doctors4covidethics.org
See artikkel võtab kokku eksperimentaalsete uuringute ja pärast vaktsineerimist surnud patsientide lahkamise tõendid. Seda näitavad kollektiivsed leiud
- mRNA vaktsiinid ei jää süstekohta, vaid liiguvad läbi keha ja kogunevad erinevatesse organitesse,
- mRNA-põhised COVID-vaktsiinid kutsuvad esile SARS-CoV-2 piigivalgu pikaajalise ekspressiooni paljudes elundites,
- vaktsiini poolt indutseeritud oga-valgu ekspressioon kutsub esile autoimmuun-sarnase põletiku,
- vaktsiinist põhjustatud põletik võib põhjustada tõsiseid elundite kahjustusi, eriti veresoontes, mõnikord surmava tulemusega.
Märgime, et lahkamisuuringutest ilmnev kahjustusmehhanism ei piirdu ainult COVID-19 vaktsiinidega, vaid on täiesti üldine – see peaks toimuma sarnaselt kõigi nakkuslike patogeenide vastaste mRNA vaktsiinidega. See tehnoloogia on täielikult ebaõnnestunud ja sellest tuleb kohe loobuda.
Kuigi kliiniliste juhtumite aruanded (nt [1, 2] ) ja akumuleeritud kõrvalnähtude teadete statistilised analüüsid (nt [3, 4] ) annavad väärtuslikke tõendeid mRNA-põhiste COVID-19 vaktsiinide põhjustatud kahjustuste kohta, oluline on kindlaks teha põhjuslik seos ja suhe üksikjuhtudel. Patoloogia jääb haiguse põhjuslikkuse tõendamise kuldstandardiks. Selles lühikeses artiklis käsitletakse mõningaid peamisi leide lahkamismaterjalide kohta patsientidelt, kes surid päevade kuni mitme kuu jooksul pärast vaktsineerimist. Konteksti jaoks käsitletakse lühidalt ka mõnda eksperimentaalset uuringut.
Enamik siin esitatud tõendeid pärineb patoloogi prof. Arne Burkhardti tööst
Dr Arne Burkhardti poole pöördusid pärast vaktsineerimist surnud patsientide perekonnad. Lahkamise materjale uuriti standardse histopatoloogia ja immunohistokeemia abil.
Tulemuste põhjal omistati enamik surmajuhtumeid “vaktsineerimisele” suure kuni väga suure tõenäosusega.

Prof. Burkhardt on väga kogenud patoloog Saksamaalt Reutlingenist. Oma kolleegi prof Walter Langi abiga on ta uurinud arvukalt surmajuhtumeid, mis tekkisid päevade kuni mitme kuu jooksul pärast vaktsineerimist. Kõigil neil juhtudel oli surma põhjus “looduslik” või “teadmata”. Burkhardt sattus asjasse ainult seetõttu, et leinavad perekonnad kahtlesid nendes otsustes ja otsisid teist arvamust. Seetõttu on tähelepanuväärne, et Burkhardt leidis, et mitte ainult mõned, vaid enamik neist surmajuhtumitest olid tingitud vaktsineerimisest.
Kui Burkhardti ja Langi uuritud patsientide valimis olid esindatud kõik neli suuremat geenipõhiste vaktsiinide tootjat, oli enamik patsiente saanud mRNA vaktsiini kas Pfizerilt või Modernalt. Mõned surnud patsiendid olid saanud erinevatel juhtudel nii mRNA- kui ka viirusvektoripõhiseid vaktsiine.
Pfizeri enda loomkatsed näitavad, et vaktsiin jaotub kiiresti kogu kehas

Võimaliku surmava kahjustuse tekitamiseks peavad mRNA vaktsiinid esmalt jaotuma süstekohast teistesse organitesse. Selline levik ilmneb loomkatsetest, millest Pfizer teatas Jaapani ametiasutustele koos vaktsiini heakskiitmise taotlusega selles riigis [5]. Rottidele süstiti intramuskulaarselt radioaktiivselt märgistatud mudel-mRNA vaktsiini ning radioaktiivse märgise liikumist esmalt vereringesse ja seejärel erinevatesse organitesse jälgiti kuni 48 tundi.
Kõigepealt tuleb märkida, et märgistatud vaktsiin ilmub vereplasmas väga lühikese aja pärast – kõigest veerand tunni jooksul. Plasma tase saavutab maksimumi kaks tundi pärast süstimist. Kui see välja langeb, koguneb mudelvaktsiin mitmesse teise elundisse. Kiireim ja kõrgeim tõus on täheldatud maksas ja põrnas. Väga suurt omastamist täheldatakse ka munasarjade ja neerupealiste puhul. Teised elundid (sealhulgas munandid) võtavad mudelvaktsiinist oluliselt madalamal tasemel. Märgime siiski, et vähemalt veresooned puutuvad kokku ja mõjuvad igas elundis ja koes. Mudelvaktsiini kiire ja laialdane levik viitab sellele, et peame eeldama piigivalgu ekspressiooni kogu kehas. Selle bioloogilise jaotumise uuringu põhjalikumaks aruteluks vt Palmer2021b.
Viirusvalkude ekspressiooni saab tuvastada immunohistokeemiaga

Ehkki mudelvaktsiini levitamine paneb meid ootama piigivalgu laialdast ekspressiooni, oleme siin esitanud kindlaid tõendeid. Selliseid tõendeid saab hankida immunohistokeemia abil, mida on sellel slaidil illustreeritud vaktsiini kodeeritud piigivalgu jaoks.
Kui vaktsiiniosake, mis koosneb lipiididega kaetud piiki kodeerivast mRNA-st, siseneb keharakku, sünteesitakse see rakus ja seejärel viiakse see raku pinnale. Seal saab selle ära tunda ogavalgu-spetsiifilise antikeha järgi. Pärast koeproovi pesemist seondumata antikehamolekulide eemaldamiseks saab seondunud molekule tuvastada sekundaarse antikehaga, mis on seotud mõne ensüümiga, sageli mädarõika peroksüdaasiga. Pärast teist pesemisetappi inkubeeritakse proovi vees lahustuva prekursorvärviga, mille ensüüm muudab lahustumatuks pruuniks pigmendiks. Iga ensüümi molekul suudab kiiresti muundada suure hulga värvimolekule, mis võimendab oluliselt signaali.
Pildi paremas ülanurgas näete kahte rakku, mis olid kokku puutunud Pfizeri vaktsiiniga ja seejärel allutati ülalkirjeldatud protokollile. Intensiivne pruun plekk näitab, et rakud tootsid tõepoolest piigivalku. Lühidalt, kõikjal, kus pruun pigment ladestub, peab algne antigeen – antud näites piigivalk – olema olemas. Immunohistokeemiat kasutatakse laialdaselt mitte ainult kliinilises patoloogias, vaid ka teadusuuringutes; seda oleks võinud hõlpsasti kasutada oga-valgu laialdase ekspressiooni tuvastamiseks loomkatsetes prekliinilise arengu ajal. Siiski näib, et FDA [ÜhendriikideToidu- ja Ravimiamet; engl. Food and Drug Administration] ja teised regulaatorid ei saanud ega nõudnud kunagi selliseid eksperimentaalseid andmeid [6].
Oga-valgu ekspressioon õlalihases pärast vaktsiini süstimist

See slaid (autor. Dr. Burkhardt) näitab deltalihase kiude ristlõikes. Mitmel (kuid mitte kõigil) kiududel on tugev pruun pigmentatsioon, mis viitab taas valgu ekspressioonile.
Kuigi oga-valgu ekspressioon süstekoha lähedal on loomulikult ootuspärane ja väga viitav, tahaksime olla kindlad, et selline ekspressioon on tõepoolest põhjustatud vaktsiinist, mitte samaaegsest SARS-CoV-2 viirusega nakatumisest. See on eriti oluline teiste kudede ja elundite puhul, mis asuvad süstekohast kaugel.
Koronaviiruse osakesed sisaldavad kahte silmapaistvat valku: oga (S) ja nukleokapsiidi (N)

Nakatumise ja süstimise eristamiseks võime taas kasutada immunohistokeemiat, kuid seekord rakendada seda mõne teise SARS-CoV-2 valgu puhul – nimelt nukleokapsiidi puhul, mis asub viiruseosakese sees, kus see ümbritseb ja kaitseb RNA genoomi. Selle katse põhjendus on lihtne: viirusega nakatatud rakud ekspresseerivad kõiki viirusvalke, sealhulgas piiki ja nukleokapsiidi. Seevastu mRNA-põhised COVID-vaktsiinid (nagu ka AstraZeneca ja Jansseni toodetud adenoviirusvektoritel põhinevad vaktsiinid) indutseerivad ainult piigi ekspressiooni.
Nakatunud isikud ekspresseerivad nukleokapsiidi valku (ja ka oga valku)

See slaid illustreerib lihtsalt, et meetod toimib: SARS-CoV-2-ga nakatunud inimese ninatampooniga võetud kopsukude või rakud värvuvad nukleokapsiidi ekspressiooni suhtes positiivselt, samas kui vaktsiiniga kokku puutunud kultiveeritud rakud seda ei tee (kuid need värvuvad tugevalt positiivselt ogavalgu protein; vt sisestust 3. slaidi paremas ülanurgas).
Süstitud isikud ekspresseerivad ainult piigivalku, mis on seotud vaktsiiniga

Siin näeme immunohistokeemiat, mida rakendatakse süstitud inimese südamelihaskoele. Oga-valgu olemasolu tõttu värvimine põhjustab tugeva pruuni pigmendi ladestumist. Seevastu nukleokapsiidi valgu ära tundva antikeha puhul täheldatakse ainult väga nõrka, mittespetsiifilist värvumist. Nukleokapsiidi puudumine näitab, et teravikvalgu ekspressioon tuleb omistada pigem vaktsiinile kui SARS-CoV-2 infektsioonile.
Peagi näeme, et oga-valgu tugev ekspressioon südamelihases pärast vaktsineerimist korreleerub olulise põletiku ja kudede hävimisega.
Oga-valgu ekspressioon väikeste veresoonte seintes

Me näeme oga-valgu ekspressiooni arterioolides (väikesed arterid; vasakul), samuti veenides (väikesed veenid) ja kapillaarides (paremal). Ekspressioon on kõige silmatorkavam sisemises rakukihis, endoteelis. See muudab endoteelirakud immuunsüsteemi rünnaku jaoks “pardid”.
Endoteeli eemaldamine ja väikese veresoone hävitamine pärast vaktsineerimist

Nüüd pöördume tõendite poole immuunrünnaku kohta endoteelirakkudele, mis toodavad oga-valku. Vasakul tavaline veen, mida piirab terve endoteel ja mis sisaldab mõningaid punaseid vereliblesid ja väheseid valgeid vereliblesid (värvitud siniseks).
Keskel olev pilt näitab veeni, mida immuunsüsteem ründab ja hävitab. Kontuurid on juba lahustumas ja spindlikujulised (ja paisunud) endoteelirakud on veresoone seinalt maha koorunud. Lisaks näeme lümfotsüüte – tumedate ümarate tuumadega väikseid rakke, mille ümber on väga vähe tsütoplasmat; üks lümfotsüüt (palju suurema suurendusega) on näidatud paremal.
Lümfotsüüdid on spetsiifilise immuunsüsteemi selgroog – kui antigeene tuvastatakse ja antikehi toodetakse, teevad seda lümfotsüüdid. Lümfotsüütide hulgast leiame ka tsütotoksilisi T-rakke ja looduslikke tapjarakke, mis hävitavad viirusega nakatunud rakke – või selliseid, mis näivad olevat nakatunud, sest nn “vaktsiiniga” on neid sunnitud tootma viirusvalku.
Endoteeli oluline ülesanne on vältida vere hüübimist. Seega, kui endoteel on kahjustatud, nagu sellel pildil, ja sellest kaugemale jäävad kuded puutuvad kokku verega, käivitab see automaatselt vere hüübimise.
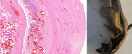
Pragu aordi seinas, mida ääristavad lümfotsüütide kobarad, mis põhjustab aordi rebendi

Vasakul lõik läbi aordi seina. See pilt on tehtud veelgi väiksema suurendusega kui eelmine; lümfotsüüdid paistavad nüüd vaid pisikeste siniste täppide pilvena. Sellest sinisest pilvest vasakul näeme vertikaalset pragu, mis läbib koe. Selline pragu on makroskoopiliselt nähtav ka paremal näidatud aordi väljalõigatud proovis.
Aort on keha suurim veresoon. See võtab vastu südame vasakust vatsakesest väljutatud kõrge rõhu all olevat verd ja puutub seega kokku tugeva mehaanilise stressiga. Kui aordi sein on põletiku tõttu nõrgenenud, nagu on see siin, võib see praguneda ja puruneda. Aordirebend on tavaliselt üsna haruldane, kuid prof Burkhardt leidis oma piiratud arvul lahkamistel mitmeid juhtumeid. Samuti näidati, et mõned mõjutatud aordid ekspresseerisid piigivalku.
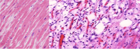
Terve südamelihase kude ja lümfotsüütiline müokardiit

Slaidil 7 nägime, et südamelihase rakud ekspresseerisid pärast vaktsiini süstimist tugevalt piigivalku. Siin näeme tagajärgi. Pildil on terve südamelihaskoe proov koos korrapäraselt orienteeritud ja joondatud südamelihaskiududega. Paremal näeme südamelihase proovi ühest lahkamisest. Lihaskiud on lahti ühendatud ja lagunevad ning neid ümbritsevad sissetungivad lümfotsüüdid. Burkhardt leidis mitmel oma surnud patsiendil müokardiidi.
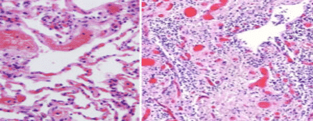
Lümfotsüütide infiltratsioon ja proliferatiivne põletik kopsukoes

Vasakul näeme tervet kopsukudet õhuga täidetud tühikutega (alveoolidega), mis on piiritletud õrnade alveolaarsete vaheseintega, millel on verega täidetud kapillaarid. Näeme ka mõningaid suuremaid veresooni.
Paremal küljel näeme lümfotsüütide poolt ülekantud kopsukudet. Õhuga täidetud ruumid on suures osas kadunud ja täidetud armide (side)koega. Sellel vaktsiini süstitud patsiendil oleks ilmselgelt olnud väga suur hingamisraskus.
Lümfotsüütide infiltratsiooni, põletikku ja hävimist täheldati ka paljudes teistes elundites, sealhulgas ajus, maksas, põrnas ja mitmes näärmes. Selle asemel, et neid kõiki illustreerida, lõpetame patoloogilised tõendid teise immunohistokeemia tulemusega, mis näitab silmatorkavalt valgu ekspressiooni pikka kestust.
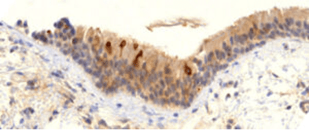
Vaktsiini poolt indutseeritud piigivalgu ekspressioon bronhiaalses biopsias üheksa kuud pärast vaktsineerimist

Slaidil on näha bronhide limaskesta proov patsiendilt, kes on elus, kuid kellel on vaktsineerimisest saadik olnud hingamisteede sümptomid. Me näeme kõige ülemises rakukihis mitut rakku, mis ekspresseerivad tugevalt oga-valku – ja seda isegi üheksa kuud pärast tema viimast vaktsiinisüsti! Kuigi see on tõepoolest kõige äärmuslikum pikaajalise ekspressiooni juhtum. Leidub tõendeid nii Burkhardti lahkamistest kui ka avaldatud uuringutest vereproovide [7] või lümfisõlmede biopsiate [8] kohta, mis näitavad, et ekspressioon kestab mitu kuud.
Pfizeri vaktsiini mRNA kopeeritakse (“pöördtranskribeeritakse”) DNA-sse ja sisestatakse raku genoomi

Ametlik mRNA vaktsiini narratiiv väidab, et vaktsiinis sisalduv modifitseeritud mRNA ei replitseerita in vivo; ogavalgu ekspressioon peaks seetõttu lõppema, kui süstitud RNA molekulid on lagunenud.
Olemasolevad piiratud eksperimentaalsed uuringud [9, 10] viitavad sellele, et süstitud modifitseeritud mRNA peaks lagunema mõne päeva kuni mõne nädala jooksul pärast süstimist. Seda on ilmselt raske vaadeldava kauakestva väljendusega võrrelda; mõnel või teisel kujul näib geneetiline informatsioon olevat in vivo põlistanud.
Hiljutine Rootsis tehtud eksperimentaalne uuring [11] on näidanud, et inimese päritolu rakud suudavad kopeerida Pfizeri mRNA vaktsiini DNA-sse ja seejärel sisestada selle oma kromosomaalsesse DNA-sse. Pilt näitab selle uuringu peamisi tõendeid. Rakke eksponeeriti vaktsiiniga näidatud aja jooksul. Seejärel eraldati rakuline DNA ja sisestati vaktsiini mRNA DNA koopiad, mis tuvastati 444 aluspaari (bp) pikkuse fragmendi PCR amplifikatsiooniga.
Kõiki BNT-ga märgistatud proove oli vaktsiiniga töödeldud ja need kõik näitavad eeldatava pikkusega PCR-produkti, nagu ilmneb võrdlusest DNA fragmendi pikkuse standardiga (“L”). Ctrl n-ga märgistatud proovid olid kontrollid: Ctrl 1–4 sisaldasid DNA-d rakkudest, mida ei inkubeeritud vaktsiiniga, Ctrl 5 sisaldas vaktsiiniga töödeldud rakkude RNA-d (mitte DNA-d); Ctrl 6 sisaldas sama, kuid seda töödeldi täiendavalt RNAaasiga, mis viidi läbi ka DNA proovide puhastamisel. Nagu oodatud, ei sisalda ükski kontrollproovist PCR produkti.
Arvestades Aldéni tähelepanekut DNA sisestamise kohta igas katseproovis, tundub väga tõenäoline, et see juhtub ka in vivo. Lisaks tõenäolise mehhanismi pakkumisele oga-valgu ekspressiooni säilitamiseks kujutab DNA sisestamine endast ka geneetilise kahjustuse ohtu, mis põhjustab vähktõbe ja leukeemiat.
Kokkuvõte
Siin esitatud tõendid näitavad selgelt põhjusliku seose ahelat vaktsiini süstimisest kuni
- vaktsiini kiire jaotumine vereringe kaudu,
- laialt levinud oga-valgu ekspressioon, silmapaistvalt veresoontes ja
- autoimmuun-sarnane põletik ja elundikahjustus.
Vaktsiinidest põhjustatud veresoonte kahjustused soodustavad vere hüübimist ja hüübimisega seotud haigused, nagu südameatakk, insult, kopsuemboolia, on kõrvalnähtude andmebaasides väga levinud [4, 12].
Lisaks autoimmuunitaolisele põletikule on tõenäolised ka muud haigusmehhanismid, sealhulgas prioonide poolt vahendatud kesknärvisüsteemi degeneratsioon [13], aberrantne veresoonte valkude ladestumine (amüloidoos) [14, 15] ja lipiidide nanoosakeste toksilisus [16], kuid need nõuavad täiendavat uurimist ja kinnitust. Üldiselt ei saa neid vaktsiine enam pidada eksperimentaalseteks – “katse” tulemuseks on katastroof, mida paljud arstid ja teadlased algusest peale ennustasid [17]. Vaktsineerimine tuleb lõpetada ning kõik nende kasutamise heakskiidud ja load tühistada.
Saksa teadlaste avastused
Rühm sõltumatuid Saksa teadlasi leidis kõigis analüüsitud COVID-i vaktsiiniproovides toksilisi komponente – enamasti metallist -, kasutades kaasaegseid meditsiinilisi ja füüsilisi mõõtmismeetodeid.
COVID-i vaktsiinianalüüsi töörühm ütleb, et mõned AstraZeneca, Pfizeri ja Moderna vaktsiiniviaalides leiduvad mürgised elemendid ei olnud tootjate koostisosade loendis loetletud.
Vaktsiinidest leiti järgmisi mürgiseid elemente:
Leelismetallid: tseesium (Cs), kaalium (K)
Leelismuldmetallid: kaltsium (Ca), baarium (Ba)
Siirdemetallid: koobalt (Co), raud (Fe), kroom (Cr), titaan (Ti)
Haruldased muldmetallid: tseerium (Ce), gadoliinium (Gd)
Kaevandusgrupi metall: alumiinium (Al)
Süsinikurühm: räni (Si) (osaliselt tugimaterjal)
Hapnikurühm: väävel (S)
Lisaks on need ained “tumevälja mikroskoobi all nähtavad erineva suurusega eristuvate ja keerukate struktuuridena, neid saab ainult osaliselt seletada kristalliseerumis- või lagunemisprotsesside tulemusena, [ja] neid ei saa seletada tootmisprotsessist tuleneva saastusega, ” leidsid teadlased.
Leiud „põhinevad teiste rahvusvahelise kogukonna teadlaste tööl, kes on kirjeldanud sarnaseid leide, nagu dr. Young, dr. Nagase, dr. Botha, dr. Flemming, dr Robert Wakeling.

Viited
- 1 Bozkurt, B. jt. (2021) Müokardiit COVID-19 mRNA vaktsiinidega. Tiraaž 144:471-484
- 2 Ehrlich, P. jt. (2021) Biopsiaga tõestatud lümfotsüütiline müokardiit pärast esimest mRNA COVID-19 vaktsineerimist 40-aastasel mehel: juhtumiaruanne. Kliinilised uuringud kardioloogia alal Saksa Südameühingu ametlik väljaanne 110:1855-1859
- 3 Rose, J. ja McCullough, PA (2021) Aruanne müokardiidi kõrvalnähtude kohta USA vaktsiini kõrvalnähtude aruandlussüsteemis (VAERS) seoses COVID-19 süstitavate bioloogiliste toodetega. Kardioloogia aktuaalsed probleemid. 101011
- 4 Shilhavy, B. (2022) 43 898 surnud, 4 190 493 vigastatut pärast COVID vaktsiine Euroopa kõrvaltoimete andmebaasis.
- 5 Anonymous, (2020) SARS-CoV-2 mRNA vaktsiin (BNT162, PF-07302048) 2.6.4 Farmakokineetilise uuringu kokkuvõte [ingliskeelne tõlge].
- 6 Latyopva, A. (2022) Kas Pfizer tegi prekliinilistes uuringutes oma Covid-19 mRNA vaktsiini jaoks piisavad ohutustestid? Tõendid teaduslike ja regulatiivsete pettuste kohta.
- 7 Bansal, S. jt. (2021) Tipptasemel: COVID ogavalgu proteiiniga ringlevad eksosoomid indutseeritakse BNT162b2 (Pfizer-BioNTech) vaktsineerimisega enne antikehade väljatöötamist: uudne mehhanism immuunsüsteemi aktiveerimiseks mRNA vaktsiinide abil. J. Immunol. 207:2405-2410
- 8 Röltgen, K. jt. (2022) Immuunsus, variantide äratundmise laius ja idukeskuse reaktsioon inimese SARS-CoV-2 infektsiooni ja vaktsineerimise korral. Lahter (eeltrükk)
- 9 Andries, O. jt (2015) N1 metüülpseudouridiiniga inkorporeeritud mRNA ületab pseudouridiiniga inkorporeeritud mRNA, pakkudes imetajate rakuliinides ja hiirtes paremat valguekspressiooni ja vähendatud immunogeensust. J. Kontroll. Väljalase 217:337-344
- 10 Pardi, N. jt. (2018) Nukleosiidiga modifitseeritud mRNA vaktsiinid kutsuvad esile tugeva T-folliikulite abistaja ja germinaalse keskuse B-raku vastused. J. Exp. Med. 215:1571-1588
- 11 Aldén, M. jt. (2022) Pfizer BioNTech COVID-19 mRNA vaktsiini BNT162b2 rakusisene pöördtranskriptsioon inimese maksa rakuliinis. Curr. Probleemid Mol. Biol. 44:1115-1126
- 12 Anonüümne, (2021) OpenVAERS.
- 13 Perez, JC jt. (2022) Neurodegeneratiivse Creutzfeldt-Jakobi tõve uue vormi esilekerkimise suunas: paar päeva pärast COVID-19 “vaktsiini” väljakuulutati 26 CJD juhtumit. ResearchGate (eeltrükk)
- 14 Charnley, M. jt. (2022) Neurotoksilised amüloidogeensed peptiidid SARS-COV2 proteoomis: võimalik mõju COVID-19 neuroloogilistele sümptomitele. Nat. Commun. 13:3387
- 15 Nyström, S. ja Hammarström, P. (2022) Amyloidogenesis of SARS-CoV-2 Spike Protein. J. Am. Chem. Soc. 144:8945-8950
- 16 Palmer, M. ja Bhakdi, S. (2021) Pfizeri mRNA vaktsiin: farmakokineetika ja toksilisus.
- 17 Bhakdi, S. jt. (2021) Arstide ja teadlaste kiireloomuline avatud kiri Euroopa Ravimiametile seoses COVID-19 vaktsiini ohutusprobleemidega.